芸能まとめ|芸能アンテナ
フォローする
ホーム
ニュー速VIP
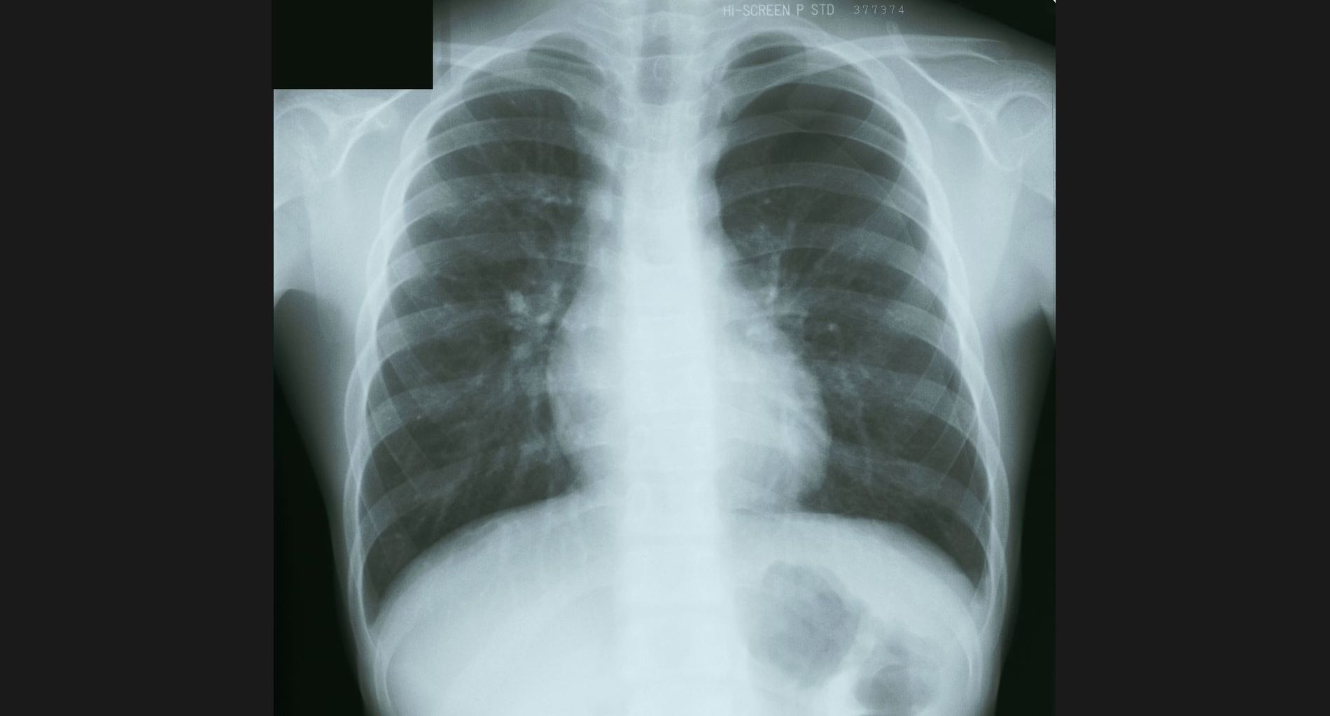
【愕然】肺気胸とかいう病気になった結果・・・・・・
2018/11/22
ニュー速VIP
続きを読む
EXILE AKIRA・冨永愛・森星らドレスアップで豪華集結 Crystal Kayのライブも
金田一耕助を演じた役者は何人いるの? ファンたちが集い語り合った夜
CLOSE